Çocuklarına edindikleri tecrübeleriyle daima yol gösterici olan, şefkat dolu yürekleri ile aile bağl ...
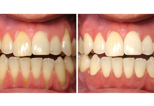
Dişler zamanla yiyecek, içecek ve sigara tüketimi gibi nedenlerle beyazlıklarını kaybederek renk değ ...
Önceden implant yaptıranlar sonrasında diş teli takabilir. Fakat daha başarılı sonuç alınabilmesi iç ...
Her çocuğun sağlıklı ve güzel bir gülüşe sahip olmasını sağlayan koruyucu diş hekimliği, hem zaman a ...
Monolitik zirkonyum bir çeşit monoblok (yekpare) zirkonyumdur. Bu zirkonyum üzerine porselen konmada ...
Ülkemizin kültürel ve ekonomik gelişmesinin yanı sıra kalkınmasına da önemli katkılar sağlayan yerel ...
Dünyanın en hızlı büyüyen ülkeleri arasında yer alan Türkiye; dinamik ve üretken bir genç nüfusa sah ...
İmplant, eksik olan dişlerin yerine yapılan, çene kemiğine yerleştirilen ve protezlere destek oluştu ...
Sıcak ve soğuğa karşı hassasiyet, çiğnerken oluşan ağrı veya besinleri rahat çiğneyememe, kendi kend ...
Korkusuz bir şekilde tedavi olmak artık çok kolay! Genel anestezi, bilinç halinin ilaçlar yardımı il ...
20 yılı aşkın bir süredir çeşitli diş tedavilerinde kullanılan lazerin Türkiye’deki kullanımı son yı ...
Yaygın bir diş problemi olan dentin hassasiyeti ya da diş hassasiyeti, diş eti çekilmesi ve diş mine ...
Büyük Türk İslam âlimi İbni Sina; başta tıp olmak üzere astronomiden müziğe, jeolojiden psikolojiye ...
Erken yaşta erken yaşta diş kaybına neden olan diş eti hastalıkları, kişilerde ciddi sağlık sorunlar ...
Protez uygulamalarında kullanılan estetik materyallerdir. Işığı daha iyi geçirmesi ve içeriğinde met ...
Diş Implantı, herhangi bir nedenden ötürü kaybedilen ya da eksik olan dişlerin fonksiyonunu ve estet ...
Dişin kök kanallarındaki sinirler, iltihaplanmış veya canlılığını sürdüremeyecek derecedeyse kanal t ...
Ortodonti tedavisi ile düzelen dişler, pekiştirme tedavisi yapılmadığı takdirde eski haline dönebili ...
Bakırköy Dentadent Ağız ve Diş Sağlığı Merkezi’mizde sunduğumuz ücretsiz diş muayene hizmetimiz ile ...
Yirmi yaş dişlerinin sürmesi için ağızda yeterli boşluk olmadığı zaman ağızda çeşitli sorunlar ortay ...
İleri düzeydeki diş rengi problemi yaşayanlarda zirkonyum tedavisi uygulanabileceği gibi ayrık dişle ...
Günlük hayatta yaşanılan her problemle birlikte stres kaçınılmaz bir gerçektir. Stres, her kişide fa ...
Ortonorm Ağız ve Diş Sağlığı Merkezi olarak Kanser Haftası’nın, kanserle mücadele eden bireylerin ya ...
Merak ve keşif duygusundan doğan turizm, ülke ekonomisine katma değer sağlamış, kültürel ve sosyal y ...
Genel anestezi sayesinde çürük dişlerin tedavisinden diğer tüm koruyucu uygulamalara kadar her işlem ...
Engelliler Haftası, engellerin aşılabileceği bilincinin yanı sıra engelli bireylerin topluma kazandı ...
Diş gıcırdatma, geceleri uyku sırasında dişlerin bilinçsiz şekilde sıkılmasıdır. Diş gıcırdatma teda ...
Retainer; ortodonti tedavisi bitiminde düzelen dişlerinizin eski durumuna dönmemesi için uygulanırla ...
Ortodonti tedavisi her yaştaki bireye uygulanabilen; çene, ağız ve diş yapısı ile ilgili tüm bozuklu ...
Dentadent Ağız ve Diş Sağlığı Merkezi olarak 1 Eylül Dünya Barış Günü’nü kutluyoruz. ...
Halk sağlığına gönül veren tüm sağlık çalışanları ve vatandaşlarımızın Halk Sağlığı Haftası’nı Denta ...
Estetik diş hekimliğinde kullanılan en popüler tedavi yöntemi metalsiz porselen kaplamalardır. Toplu ...
Kanal tedavisi, hastaya anestezi uygulanarak yapılır. Öncelikle amaç dişteki çürüğün temizlenmesidir ...
Ortodonti tedavisi boyunca ağız, diş ve diş teli bakımına son derece özen gösterilmelidir. Ağız, diş ...
Ayrık diş yapısı, kişilerde estetik görünümü etkilemesinin yanı sıra psikolojiyi de olumsuz yönde et ...
Ağız ve diş tedavilerinin en popüler tekniklerinden olan implant uygulaması, tek diş kaybı, birden f ...
Doğayı bizimle paylaşan, varlıklarıyla hayatımıza neşe katan sevimli dostların yaşama haklarının güv ...
Cumhuriyet, demokratik bir ülkenin bozulmaz simgesidir... Bu duygu ve düşünceden hareketle Dentadent ...
Başarısız implant uygulamalarından dolayı bazı hastalar sorun yaşayabiliyor. Implant uygulamalarında ...
İstanbul’da en iyi implant merkezi olan Dentadent Ağız ve Diş Sağlığı Hastanesi, implant cerrahisi a ...
İmplant yaptırırken nelere dikkat etmeniz gerektiğini biliyor musunuz? ...
Diş taşı temizliği ağız ve diş sağlığı için çok önemlidir. ...
Ortodontik tedaviye ne zaman başlanmalı? sorusu her ebeveynin merak ettiği konuların başında gelir. ...
Dentadent Ağız ve Diş Sağlığı Merkezi olarak, insanların yüzlerinde oluşan umut dolu güzel bir gülüm ...
Sabrıyla bizlere her şeyi öğreten, geleceğimizi şekillendiren öğretmenlerimizin Öğretmenler Günü’nü ...
Dental implant uygulaması ile eksik dişlere son! ...
Her sağlıklı insanın birer engelli adayı olduğu unutulmamalıdır. Her engelli bireyin ihtiyaçlarına y ...
Tüm kadınlarımızın, kadınlara seçme ve seçilme hakkı verilişinin 84. Yıl dönümü ile 5 Aralık Dünya K ...
Cad cam porselen diş ya da cam seramik diş uygulamaları kendi yapısında kristal içerir. Doğal diş mi ...
Çocuk diş hekimliği adı verilen Pedodonti, 0-13 yaş aralığındaki çocukların hem süt hem de daimi diş ...
Diş eti çekilmesi dişleri saran pembe dokunun geriye çekilmesi sonucu oluşan bir problemdir. ...
Emax diş kaplama yöntemi, ön diş estetiğinde tercih edilir. Estetik bir görünüm sağlamak amacıyla ke ...
Porselen diş kaplama ile zirkonyum diş kaplama arasındaki farklar için Dentadent Ağız ve Diş Sağlığı ...
İmplant tedavi aşamaları ve kimlere implant yapılabilir hakkında detaylı bilgi için Dentadent Ağız v ...
Diş eti estetiği ve pembe estetik, diş etindeki şekil bozukluklarının düzeltilerek, dişlerin yanı sı ...
Acil diş sorunları ile karşılaştığınızda ne yapmalısınız? ...
Mucit çocuklar günü her yıl 17 Ocak'ta kutlanır. ...
Dünya Sarılma Günü her yıl 21 Ocak'ta kutlanır. ...
Ayrık dişler nasıl kapatılabilir, ön ayrık dişlerin tedavisi ve aralıklı diş tedavi uygulamaları içi ...
All On Four Uygulaması ve All On Four Uygulaması fiyatları 2024 hakkında İstanbul'un en iyi diş hast ...
İstanbul Estetik Diş Kliniğimizde, implant, telsiz ortodonti, Bonding, Gülüş Tasarımı,gülüş estetiğ ...
Ağız kokusunu önlemenin yolları nelerdir? ...
Dental implant cerrahisi, implant ameliyatı ve tedavi süreçleri hakkında merak ettiğiniz her şey Den ...
Uluslararası kitap bağışlama günü 14 Şubat ...
Diş Perisi Günü 28 Şubat ...
Tek diş implantı, tek diş eksikliğinde implant fiyatları hakkında bilgi almak için Dentadent Ağız ve ...
Genel anesteziyle diş çekimi artık çok kolay! Ağrısız ve acısız diş tedavileri Dentadent Ağız ve Diş ...
Kendi dişiniz kadar doğal Lumineers Kaplama... Avrupa Yakasının en iyi Lumineers Kaplama yapan klini ...
Dişteki şekil bozukluklarının giderilmesi ve dişler arasındaki boşlukların kapatılmasında en etkili ...
Fiber Post Uygulaması için tek seansta mükemmel gülüşlerin adresi Dentadent Ağız ve Diş Sağlığı Merk ...
8 Mart Dünya Kadınlar Gününüz Kutlu Olsun! ...
21 Mart Nezaket Günü Kutlu Olsun! ...
DNA Günü, 2003’te İnsan Genom Projesi’nin tamamlandığı ve 1953 yılında DNA çift sarmalının James Wat ...
38 ülke ile birlikte Türkiye’de de ilk kez “World Wish Day” olarak bilinen “Dünya Dilek Günü” kutlan ...
Dişler arasında meydana gelen boşluklar, çene ve dişleri ilgilendiren bir durumdur. Çene geniş, dişl ...
Bir günde implant uygulaması yapılabilir mi? Aynı günde implant tedavisi mümkün mü? ...
Ağızda bütün dişlerin eksik olduğu duruma tam dişsizlik deniliyor. Bu tip hastalar için birçok özel ...
Takma diş, hareketli protezlerdir. Bir ya da daha fazla diş eksikliğinde tercih edilir. Takma diş İs ...
Lamina Diş Kaplama uygulaması temel olarak, dişlerdeki renk değişikliklerinin giderilmesi ya da şeki ...
Ön dişlere yapılan estetik dolgu uygulamalarında Bonding dolguları oldukça başarılı sonuçlar verir. ...
Her yıl Mayıs ayının ilk cumartesi gününde kutlanan Dünyada Ücretsiz Çizgi Roman Günü’nde özel çizgi ...
Yoda gibi Konuş Günü, yılın her 21 Mayıs gününde kutlanmaktadır. Star Wars film serisinin meşhur kar ...
Diş implantı kimlere yapılabilir? Dş implantı yaptırmak için ne gibi şartlar gerekir? Diş implant sü ...
Diş tedavilerinizde ömür boyu destek garantisi, İstanbul Bakırköy Dentadent Ağız ve Diş Sağlığı Merk ...
Kalite ve garantiyi 25 yıllık tecrübe ile birleştirdik, Dentadent Ağız ve Diş Sağlığı Merkezi olarak ...
İstanbul’da komple ağız ve diş bakımı, komple ağız ve diş bakımı fiyatları hakkında detaylı bilgi al ...
Diş sıkma sorununun en gözde tedavi seçenekleri arasında çene botoksu geliyor. ...
İstanbul’da diş implantı yaptırmak isteyen hastalarımız için kliniğimizde dental implant uygulaması ...
Diş eti hastalığı, dişeti ve dişleri destekleyen tüm dokuları etkileyen iltihabi hastalıklardır. ...
Her yıl 15 Haziran, Doğa Fotoğrafı Günü olarak kutlanır. Kuzey Amerika Doğa Fotoğrafçılığı Derneği t ...
Yaz geldi, içimiz kıpır kıpır. Kendimizi serin sulara atmanın hazzı paha biçilemez. Öyleyse bu özel ...
Diş kaymasının birçok nedeni olabilir. Dişlerin çekilmesiyle dişler arasında meydana gelen boşluklar ...
İmplant tedavi sonrası, ilk 2 gün boyunca ağız bakımına dikkat edilmesi önemlidir. ...
Kanal tedavisi dişin pulpası iltihaplanıp zarar gördüğünde uygulanan bir işlemdir. Dişin gördüğü en ...
Sağlık Turizminde İstanbul’un en iyi diş hastanesi olarak bizleri tercih eden ve yurt dışından tedav ...
Pedodonti yani diğer adıyla Çocuk Diş Hekimliği 0-14 yaş aralığında yer alan çocukların süt ve daimi ...
Bebeklerin 6-8 aylık oldukları dönemde ilk dişleri çıkmaya başlar. Ağız ve diş temizleme işlemine bu ...
Gelecek nesillere iyi bir çevre bırakabilmek adına ekolojik dengeyi korumalı ve atacağımız adımlarla ...
Her türlü fedakârlık ve sabırla, dünyanın en büyük görevini yerine getiren ve hayatın tüm güzellikle ...
Bütün dişleri implant yaptırmak nasıl bir tedavi süreci gerektirir sorusu hastaların merak ettiği ko ...
Dentadent Ağız ve Diş Sağlığı Merkezi olarak birlik ve beraberliğimizi perçinleyen, milletimizin ist ...
Diş beyazlatma (Bleaching), çeşitli nedenlerden ötürü renklenmiş olan dentin tabakasının beyazlatma ...
Estetik diş hekimliği, diş ve diş etleri üzerine yapılan çeşitli uygulamalarla kaybedilmiş veya ihti ...